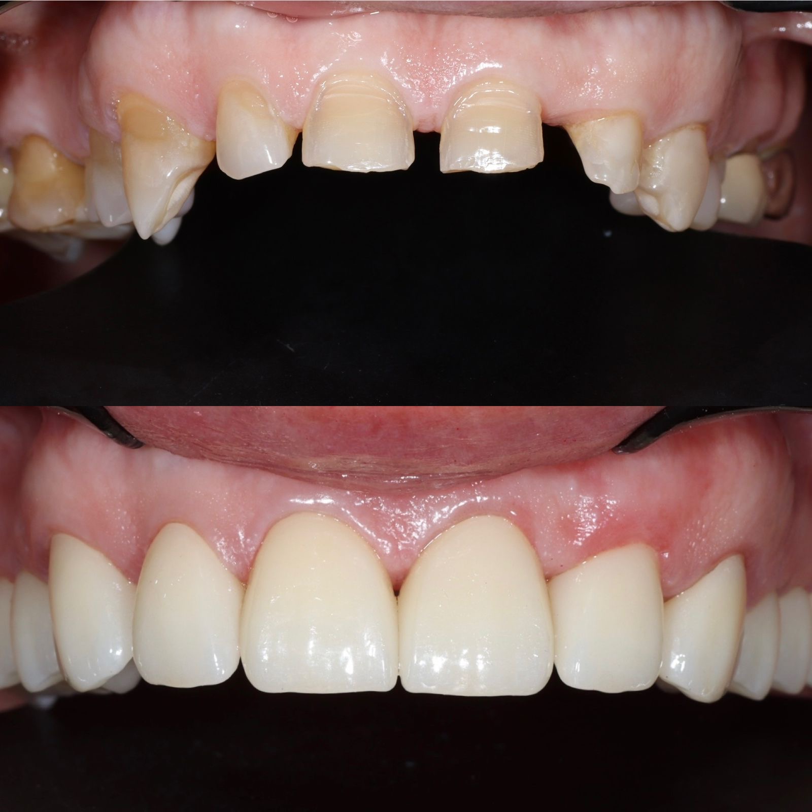
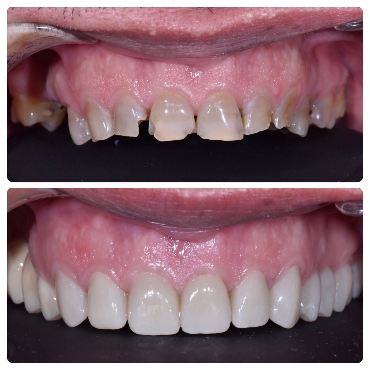
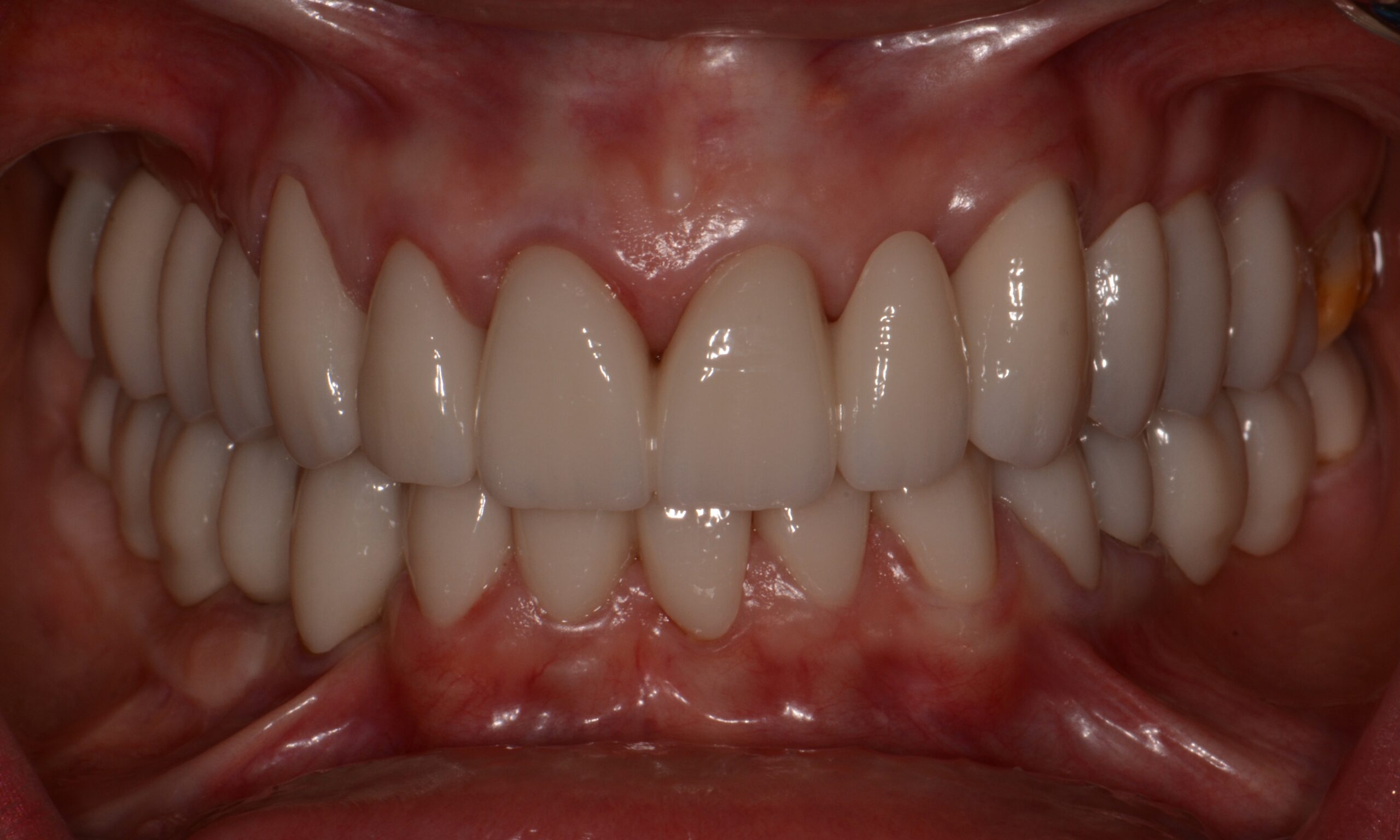
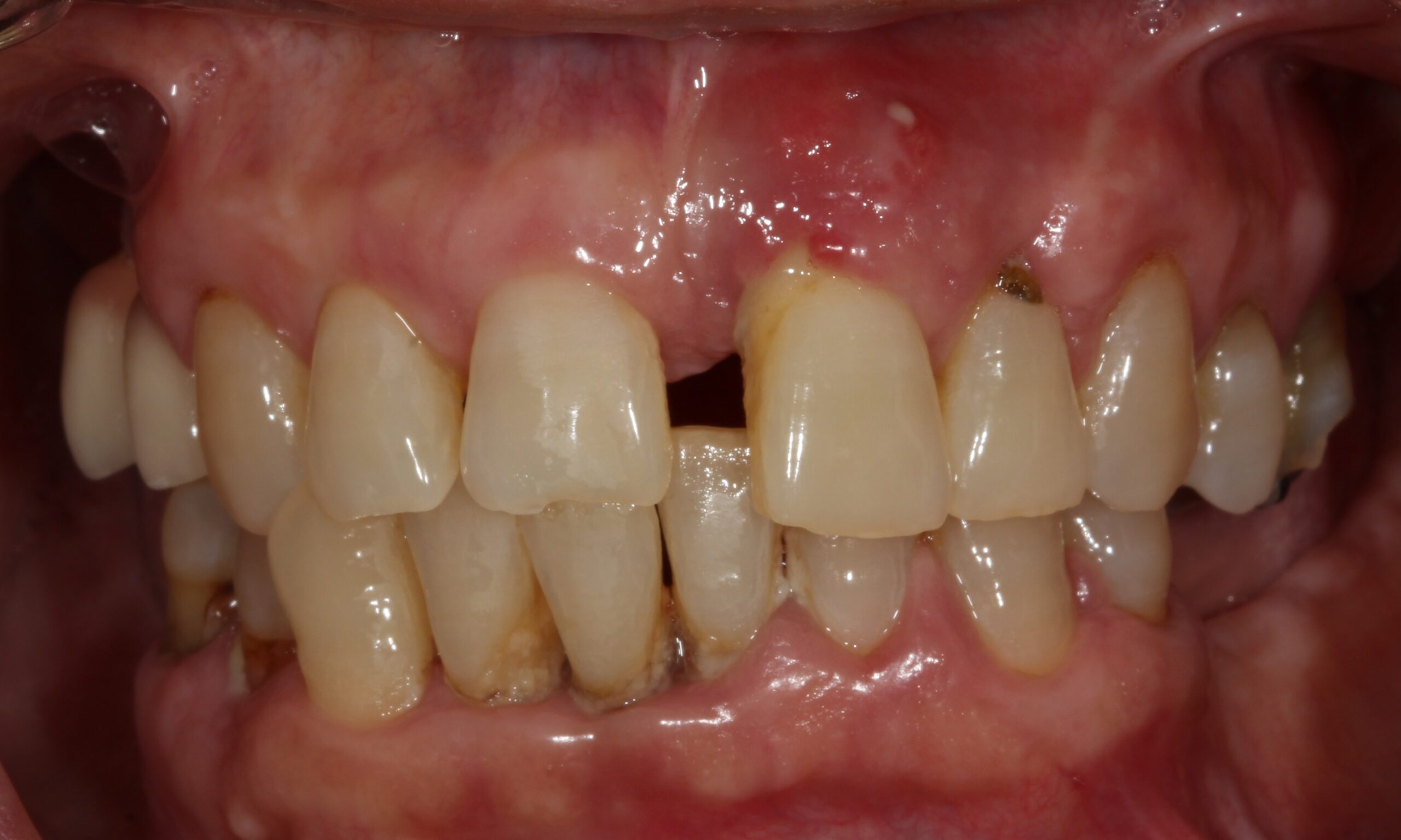
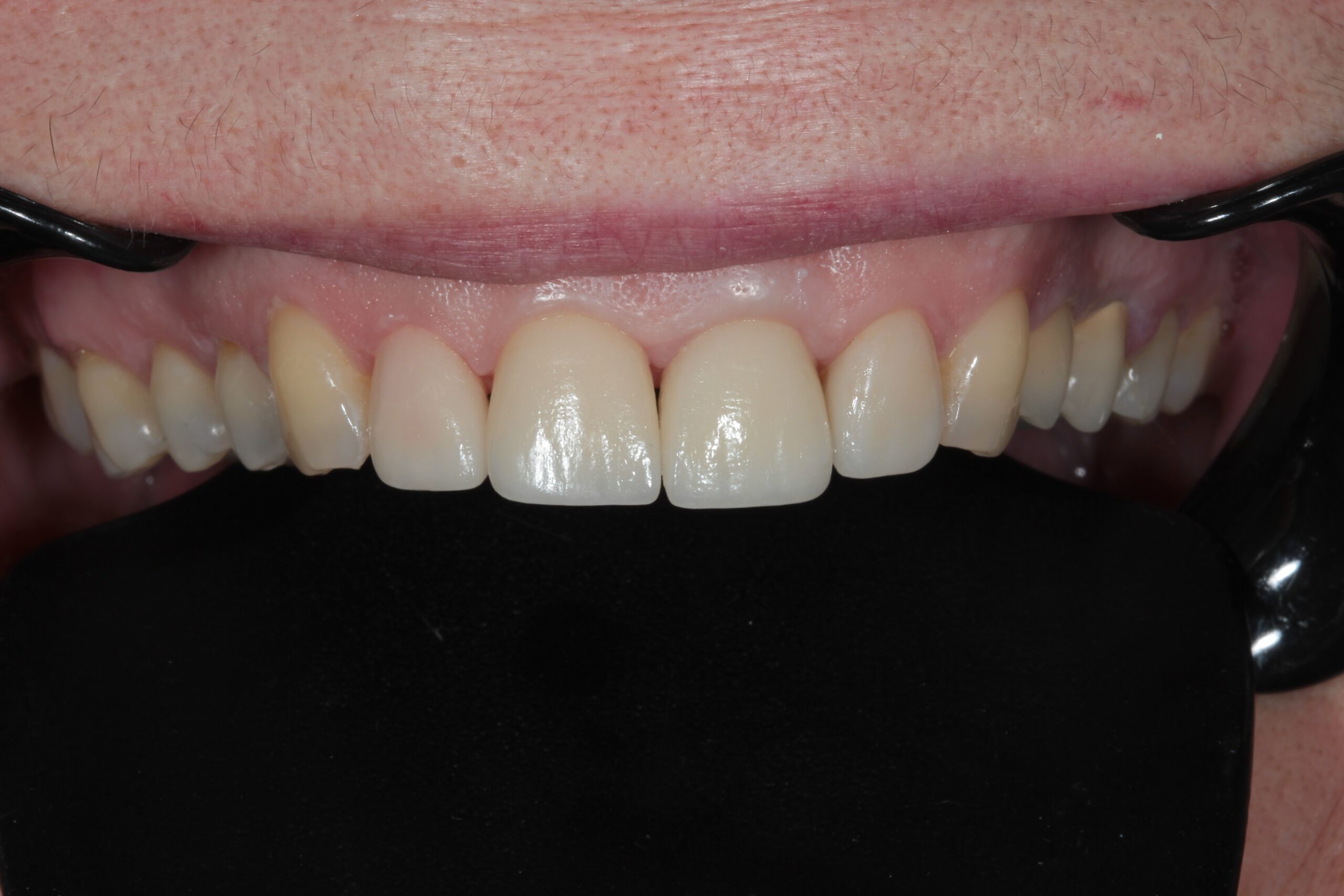
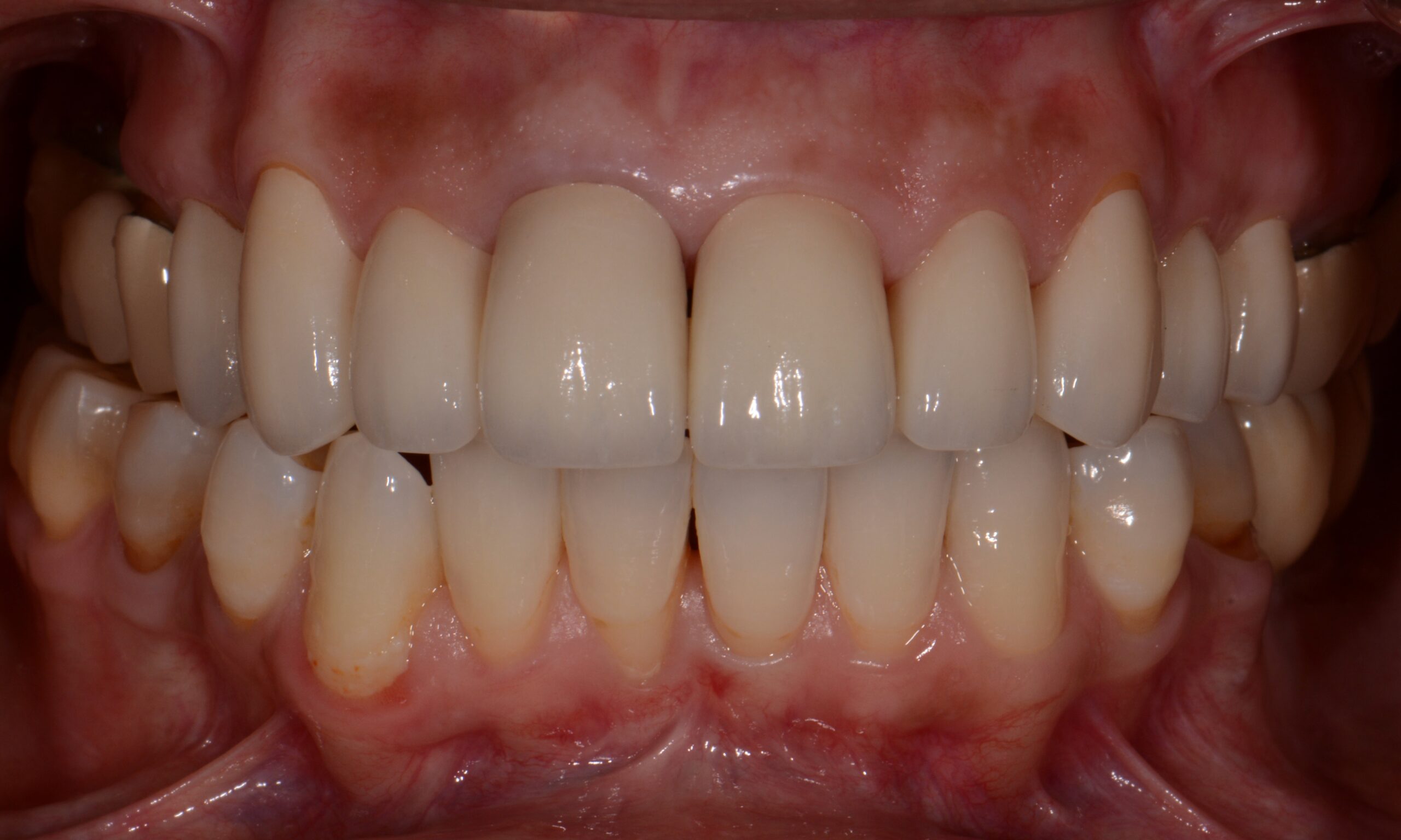
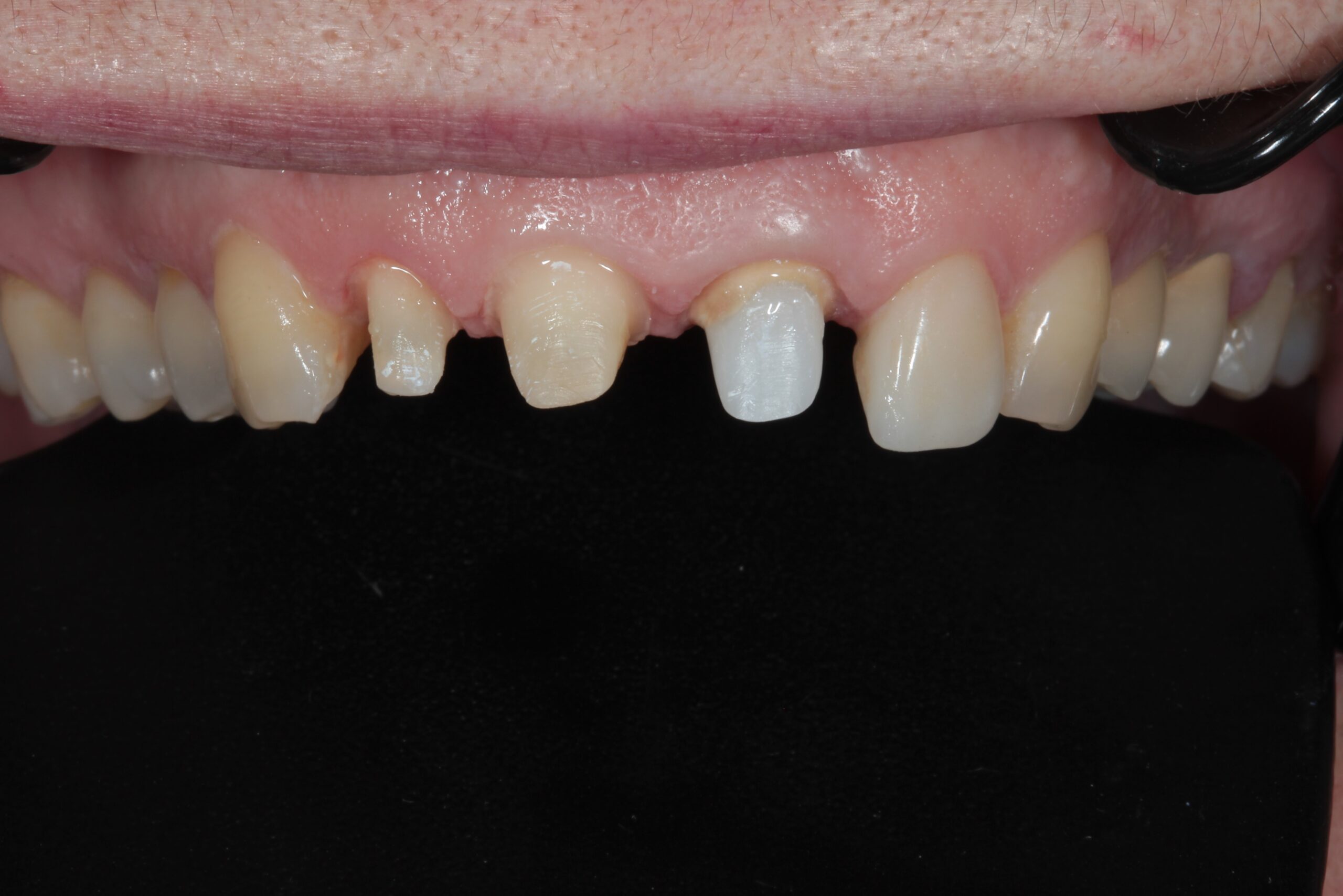
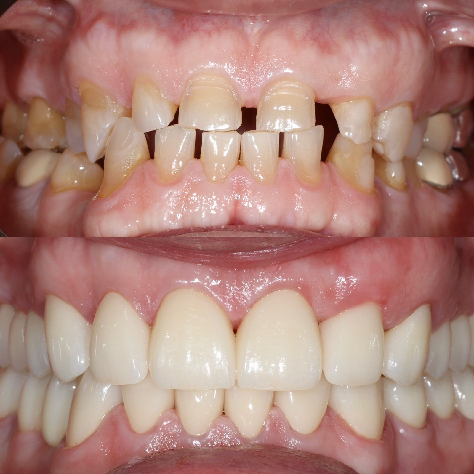
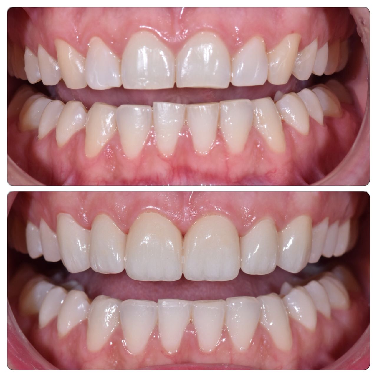
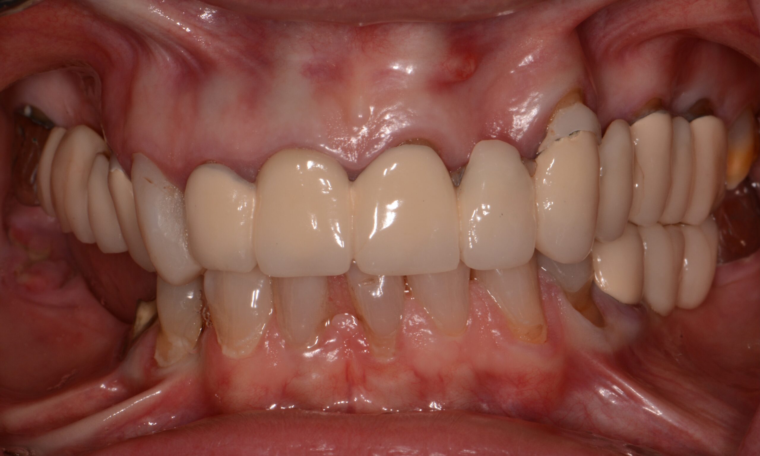
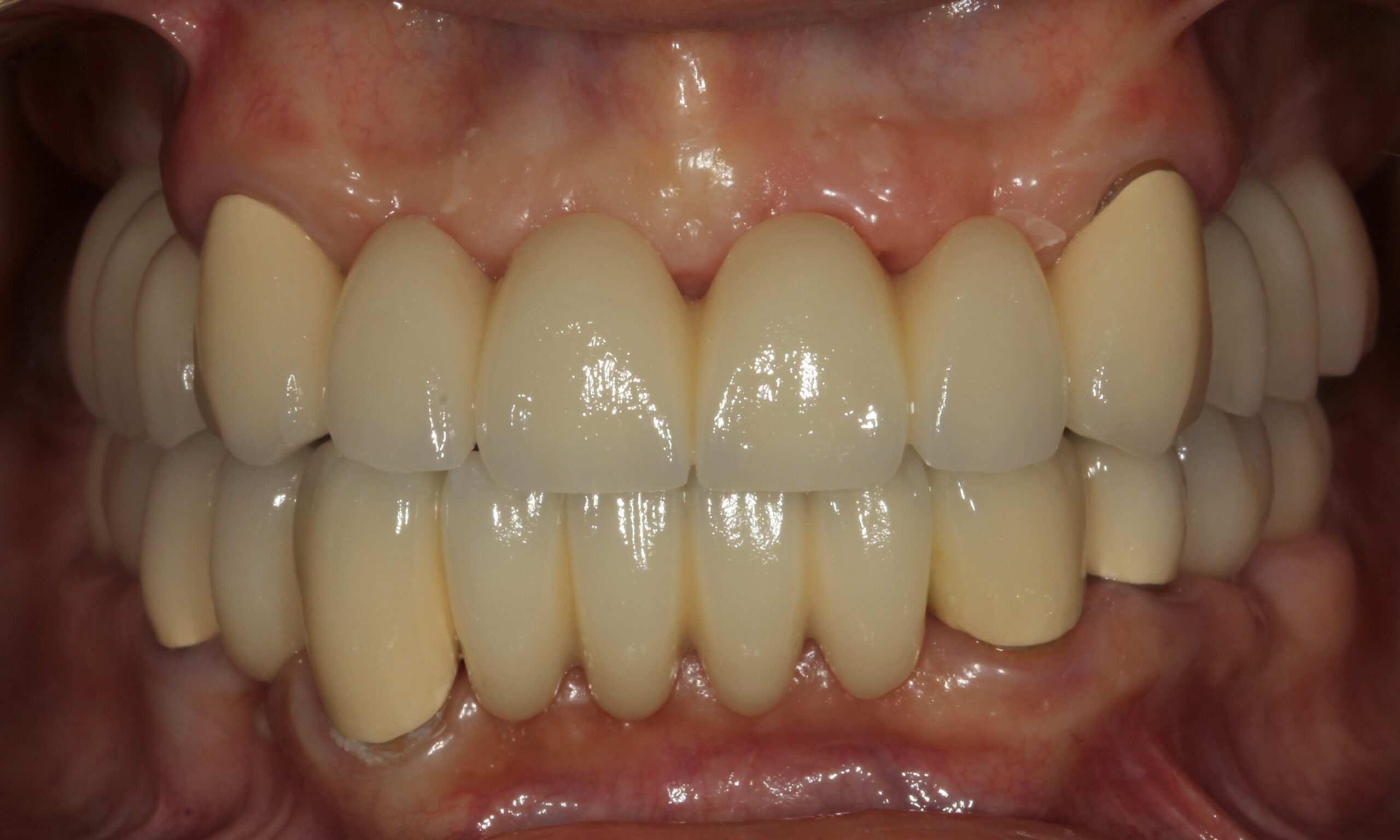
Before & After
Creating High-End Dental Restorations Since 1951
Our mission is to provide dentists with the products they need to create beautiful smiles and improve their patients’ oral health. With a focus on quality, precision, innovation and customer satisfaction, we strive to be the premier choice and most reliable partner for dental professionals in Cyprus.
Simplifying Dental Solutions for Professionals
From Consultation to Delivery: A Seamless Dental Lab Experience
At our dental laboratory, we make it easy for dentists to find the right products for their patients. From the initial consultation to product selection, delivery, and ongoing support, our streamlined process ensures a seamless experience.
Our talented dental technicians work to help dentists boost their practice’s growth and offer their patients the smiles and convenience they’re dreaming of.
Dental Products Inspired by Nature, Perfected by Science.
Discover our range of personalized dental services and supplies
made to enhance overall dental health.
Our Valued Partners
